2025/3/27、年に一度の股関節定期検診。昨年は仕事の調整がつかずスキップしてしまったので2年ぶりの定期健診。2005年3月7日のキアリ骨切り手術からまる20年になる。
20年前の治療記>股関節治療記-臼蓋形成不全-
改めて考えるとすごい年月。先生とも20年になるのか。しかも病院の名前が変わっていたことを知ってさらにびっくり。しかも新しい建物は建ってるしカフェができてるし、病院の仕組みもDXが進んでいた。
旧:東京医科歯科大学病院
現:東京科学大学病院
実は今回も仕事が忙しのでリスケを考えて病院に電話した。しかし担当医のK先生は、今は月に1回しかきていないそうで(数年前に別の病院に移ってしまった)、4月も5月も予定が合わず。やむなくむりやり休みをとった。

御茶ノ水駅から病院へ向かう。入口がよくわからないから仮設階段みたいなところから上がっていった(後に正面の新しい建物から入ればよかったと気づく)予約時間の11時。まずはいつものレントゲン。それから4階の整形外科へ。受付バーコード読み込みの自動化になっていた。
しかし待つのは変わってない。なんだかんだ2時間待ったが、ずっとブログ記事を書いていたのであっという間だった。
伝えたこと
・最近は(手術していない)左が痛い
・体重が増えた。運動できていない
先生に言われたこと
・2年前と比較してそんなに大きく変わっている様子はない。多少隙間が狭くなった感じはある
・人工関節手術をいつやるか、やらないかはご自身で決めていい。
・もっと早くやればよかったと言う人もいる。もちろんリスクはある
・今の人工関節は25年は持つことがわかってきている
・なるべく運動して筋力をつけましょう
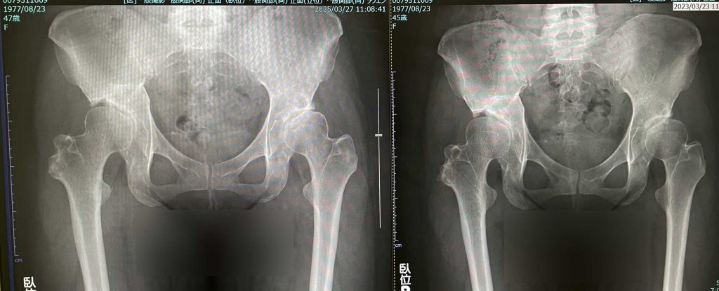
今回のレントゲン

2年前との比較。

左股関節3年比較

よくわからん。
最近は左股関節が毎日痛く、誰が見ても足が悪いと思われる歩き方をしている。
その歩き方がもう癖になりつつもある。
普通の歩き方がわからなくなっているような。普通に歩こうと思えば歩ける気もするが、やはり痛みが出る。
寝ながら左足をまげて外に倒すストレッチをすると、戻すときにゴリっとした痛みが走る。
でも生活に大きな支障はないし、海外旅行も普通に行けてるし(長時間歩くのはきつくなってきたが)バイクも乗る。
このブログは股関節手術の時にスタートしたので、これまた20年になる。


コメント