■治療方法
治療方法には大きく分けて3通りあるそうです。
ひとつは、手術はせず、筋力強化等で関節を保護して生活してゆくという方法。
もうひとつは、手術で自分の骨(骨盤)を加工して人工的に骨の形を整える方法です。(自骨手術)
そしてもうひとつ手術で関節をそっくり人工物に置き換えるというものです。(人工関節)
手術をしない、という選択肢はとても魅力的に感じましたが、最終的には手術をする方向に決めました。私の場合、症状がまだ軽い段階であることから、耐久性のリスクのある人工関節ではなく、まずは自骨手術がいちばんベストということでした。
この自骨手術にもいくつかの術法があり、これは先生によって意見がわかれました。
■キアリ骨盤骨切術
今回、私が受ける手術は自骨手術のなかの「キアリ骨盤骨切術」です。
骨盤を切ってずらし、骨の形を整えるというものです。
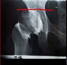
「股関節X線」で説明したように、私の右股関節はかぶりが足りません。
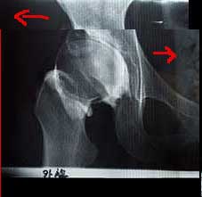
右の股関節X線です。赤い線のところで骨盤を二つに切ります。ノミやノコギリ?を使うようです。

そして切った部分を左右にずらし、足りない”かぶり”を人工的に大きくする。

手術方法
ポンコツ股関節
コメント